Dental Plus

Inicio / Dental Plus / Ortodoncia


Ortodoncia


Odontologia Integral del Adolescente

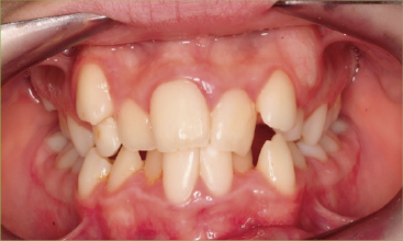
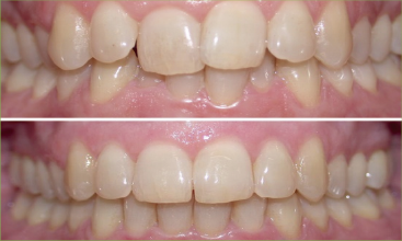
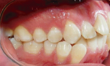
Es la especialidad de la odontología que estudia el crecimiento del complejo cráneo facial, el desarrollo de la oclusión, y el tratamiento de anormalidades dento maxilofaciales. El tratamiento de ortodoncia está orientado a corregir el mal alineamiento de los dientes, restableciendo una mordida (oclusión) óptima y mejorando la estética del rostro.

Metas del tratamiento de ortodoncia:

  • Estética facial
  • Estética dental
  • Oclusión funcional óptima
  • Estabilidad oclusal
  • Salud periodontal y del hueso de soporte
  • Salud de la articulación temporo mandibular

Nuestra institución cuenta con personal capacitado y con post grado en el área de la ortodoncia, para la detección, la corrección y el manejo de anomalías esqueléticas y dentales.





Socializa

Sige con nosotros para obtener más información y noticias sobre el cuidado odontológico.



319 732 95 50

568 06 94

Calle 20 No. 22 – 46 La Ceja Ant.

Diseñado y desarrollado por: Ferney Chica - Alex Ossa
Modal de Ubicación Dental Plus Fin Modal de Ubicación Dental Plus