Dental Plus

Inicio / Dental Plus / Estomatología


Estomatología


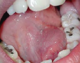
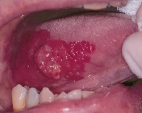
También llamada Medicina Bucal, es la rama de la odontología que se encarga del diagnóstico y manejo de las enfermedades propias de la boca y de las enfermedades sistémicas (de otros sitios del organismo), que tienen manifestaciones bucales.

La estomatología se encarga también de aspectos específicos como:

  • El cáncer oral, el diagnóstico y tratamiento quirúrgico de la lesión y la rehabilitación con la somato prótesis. También se encarga del manejo de las implicaciones o consecuencias de la radioterapia y quimioterapia.
  • Dolor facial crónico: diagnostico y tratamiento de dolores que afectan la cara, los dientes, los maxilares y la articulación temporo mandibular.
  • Articulación temporo mandibular: diagnóstico y manejo del complejo estructural de la ATM, con tratamientos principalmente conservadores.

El estomatólogo hace parte de un equipo de salud y está en la capacidad de diagnosticar patologías infecciosas, tumorales y de malformación, tomar biopsias y realizar tratamientos de urgencias, de síndromes dolorosos y disfunciones miofaciales y de la articulación temporo mandibular (ATM).




Socializa

Sige con nosotros para obtener más información y noticias sobre el cuidado odontológico.



319 732 95 50

568 06 94

Calle 20 No. 22 – 46 La Ceja Ant.

Diseñado y desarrollado por: Ferney Chica - Alex Ossa
Modal de Ubicación Dental Plus Fin Modal de Ubicación Dental Plus