Dental Plus

Inicio / Dental Plus / Rehabilitación Oral


Rehabilitación Oral


La rehabilitación oral es una especialidad de la odontología que realiza el diagnóstico y plan de tratamiento adecuado al paciente que necesita recuperar la salud, la función y la estética facial y dental. Combina en forma integral las áreas de operatoria, oclusión, prótesis fija, prótesis removible e implantes dentales. A su vez, establece estrecha relación con las demás disciplinas de la odontología, como periodoncia, endodoncia y ortodoncia.

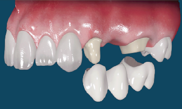
Tratamientos que comprende la rehabilitación oral:

  • Pérdida de dientes
  • Operatoria y reconstrucciones dentales
  • Fracturas
  • Cambiar restauraciones defectuosas
  • Implementación de coronas
  • Desgaste excesivo de los dientes
  • Acondicionamiento de prótesis o reemplazo por prótesis fijas o removibles
  • Implantes Dentales

Tipos de Prótesis
Según su colocación y fijación en la boca estas se pueden clasificar en:

  • Prótesis Fijas: se sujetan a los dientes restantes en la boca o a implantes, se desgastan los dientes en su corona para recibir una corona protésica que puede ir en diferentes materiales. También se colocan sobre pernos colados en las raíces con tratamiento endodóntico previo.

  • Prótesis removibles: se pueden quitar de la boca, según el caso, tienen una base o estructura (metálica o acrílica) en la cual se acondicionan aditamentos que sostienen la prótesis de los dientes.
  • Prótesis totales: se utilizan cuando no existen dientes en los maxilares, Son elaboradas en acrílico de termo curado. Es importante primero acondicionar los tejidos que reciben estas prótesis para que tengan mejor adaptación. Cuando no hay suficiente hueso, es necesario primero algún tipo de cirugía reconstructiva o la fijación de implantes para que la prótesis tenga mejor retención.


Socializa

Sige con nosotros para obtener más información y noticias sobre el cuidado odontológico.



319 732 95 50

568 06 94

Calle 20 No. 22 – 46 La Ceja Ant.

Diseñado y desarrollado por: Ferney Chica - Alex Ossa
Modal de Ubicación Dental Plus Fin Modal de Ubicación Dental Plus