Dental Plus

Inicio / Dental Plus / Odontología General


Odontología General


El presente y futuro exige de la odontología mayor proyección social, abriendo caminos para brindar salud bucal a la población, acorde a sus necesidades. Ponemos a su disposición los mejores profesionales y materiales que permiten la realización de tratamientos en odontología general, capaces de mantener la salud bucal de la población con tratamientos honestos y éticos. La institución ofrece los tratamientos en odontología general, desde el diagnóstico confiable y seguro de la salud bucal, hasta la rehabilitación de las condiciones orales que permitan recuperar el bienestar y la estética facial que todo ser humano merece.

Procedimientos en Odontología General


  • Diagnóstico confiable y seguro, de las condiciones bucales
  • Paquete preventivo
    • Educación en higiene oral
    • Profilaxis (limpieza)
    • Topicación con flúor
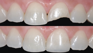
  • Operatoria dental: restauraciones en resina
  • Blanqueamiento dental: aclaramiento dental
  • Diseño de sonrisa
  • Endodoncia: tratamiento del nervio del diente
  • Periodoncia: tratamiento de los tejidos de sostén del diente
  • Rehabilitación oral: reemplazo de piezas dentales perdidas



Socializa

Sige con nosotros para obtener más información y noticias sobre el cuidado odontológico.



319 732 95 50

568 06 94

Calle 20 No. 22 – 46 La Ceja Ant.

Diseñado y desarrollado por: Ferney Chica - Alex Ossa
Modal de Ubicación Dental Plus Fin Modal de Ubicación Dental Plus