Noticias

Inicio / Noticias / El Arte de Cuidar

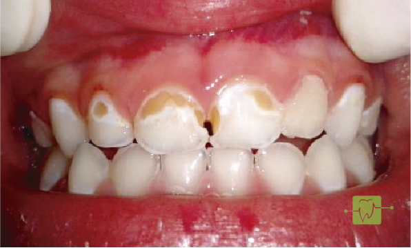
CARIES DENTAL EN LOS NIÑOS


Los niños necesitan dientes de leche fuertes y saludables, para masticar, hablar, sonreír y tener un adecuado desarrollo de los maxilares y de los dientes permanentes.
La patología más común en los niños es la caries dental y es detectada a muy tempranas edades. Mencionaremos las causas y las medidas preventivas para que los niños crezcan y se desarrollen con buena salud oral.
Factores que favorecen la presencia de caries en los niños:

1. Bacterias
Debe existir una colonización de la boca del niño por bacterias productoras de caries. Ya se ha demostrado que estas bacterias pueden colonizar las bocas antes incluso de que salgan los dientes de leche.
Los niños suelen adquirir las bacterias a través de sus padres o cuidadores, cuando soplamos la comida para enfriarla, chupando los chupos para limpiarlos, dando besos en la boca, compartiendo utensilios de cocina. Por ello es vital que mamá y papá no tengan caries. De este modo, se reduce la posibilidad de que la boca de nuestro hijo sea colonizada de forma temprana, y por ningún motivo compartir elementos de aseo o alimentación con el niño.

2. Alimentación rica en carbohidratos fermentables
La caries se asocia con un consumo frecuente de carbohidratos fermentables, por lo que cualquier tipo de azúcar consumido con frecuencia, en presencia de bacterias, puede ocasionar caries. Hoy en día en casi todos los productos envasados existen azucares ocultos, por ejemplo, galletas, zumos envasados, yogures, papas fritas e incluso en los preparados para bebés.
Para reducir el riesgo de obesidad y caries dental, la OMS recomienda que adultos y niños reduzcan la ingesta diaria de azúcares a menos del 10% de la ingesta energética diaria.

3. Higiene Oral deficiente
La mayoría de niños no llevan a cabo unas medidas de higiene de forma rutinaria y eficaz. Hasta los nueve años o más, no se considera que el niño tenga la capacidad motriz suficiente para llevar a cabo él solo un cepillado correcto. Por ello, es fundamental que mínimo, hasta esa edad, un adulto realice la higiene oral de los niños o por lo menos una vez al día, la más importante es la de noche.
Los padres son los responsables de la salud oral de los niños.

4. Factor tiempo
¿Cuánto tiempo pasa entre cepillado y cepillado?
Cuanto más tiempo estén los azúcares y los restos de comida en contacto con los dientes, más acido se producirá́ en su boca y más riesgo de caries tendrá́. Es decir, más tiempo tienen las bacterias para metabolizar los restos de comida y azúcares y desarrollar la caries. Por ello, es ideal realizar el cepillado lo antes posible. Es decir, inmediatamente después de comer.

5. Susceptibilidad de cada individuo
No todas las personas somos igual de sensibles a la caries. Hay determinados factores que van a determinar el riesgo individual de cada individuo. Estos son:
• Resistencia de cada esmalte.
• Ph de la cavidad oral, nivel de acidez. Cuanto más bajo sea el Ph, más riesgo de caries existe. Después de comer, el Ph disminuye automáticamente, por ello es importante cepillar inmediatamente después de cada comida.
• Tipo de saliva, las salivas más espesas son de mayor riesgo de caries.
• Cantidad de saliva. A más cantidad menor riesgo de caries.



RECOMENDACIONES PARA EVITAR LA CARIES EN LOS NIÑOS

• Amamanta al bebé, la leche materna es el mejor alimento, mantiene saludable el interior de la boca del bebé y previene la caries dental.
• Si estás alimentando a tu bebé con biberón o tetero, retíralo de la boca o de las manos del niño cuando se quede dormido, No le des biberón con jugo, leche u otras bebidas azucaradas ni lo deje acostar o dormir con él en la boca. No sumerjas el chupete del niño en miel, azúcar o bebidas ricas en azúcar.
• Iniciar la limpieza de la cavidad oral desde que son bebés, así aun no hayan erupcionado los dientes deciduos. Limpiar con paño húmedo la encía, carrillos y lengua después de cada alimento.
• Cuando erupciona el primer diente, se debe iniciar la higiene con cepillo. La higiene: cepillado y seda dental, debe ser realizada por los padres hasta mínimo los 9 años de edad. Pregunta a tu odontólogo por el tipo de cepillo y crema dental a utilizar, así como también las técnicas adecuadas.
• Evita las meriendas a base de yogures, zumos industriales, gaseosas. Elije frutas naturales.
• Revisa regularmente los dientes de tu hijo.

Empieza a llevar a tu hijo al odontólogo desde los primeros meses de edad, recibirás educación en cuidados y técnicas de higiene oral para el niño, actividades de promoción y prevención.

En DENTAL PLUS cuidamos la salud de los niños.



Socializa

Sige con nosotros para obtener más información y noticias sobre el cuidado odontológico.



319 732 95 50

568 06 94

Calle 20 No. 22 – 46 La Ceja Ant.

Diseñado y desarrollado por: Ferney Chica - Alex Ossa
Modal de Ubicación Dental Plus Fin Modal de Ubicación Dental Plus